Ein neues Lächeln

Originalarbeiten aus unserer Praxis

Kieferorthopädie - Univ.-Prof. Dr. Dr. Dieter Müßig

Korrektur

  • Massiver Engstand 
  • Erwachsener Patient
  • Zahnspange innenliegend
  • Behandlungsdauer 2 Jahre

Vorher

während der Behandlung

Nachher

Korrektur

  • Frühbehandlung

  • Gratiszahnspange

  • Patient Kind 

  • Zahnspange aussenliegend

  • Behandlungsdauer 1 Jahre

Vorher

während der Behandlung

Nachher

Korrektur

  • Hauptbehandlung

  • Gratiszahnspange

  • Patient Jugendlich

  • Zahnspange aussenliegend

  • Behandlungsdauer 2 Jahre

Vorher

während der Behandlung

Nachher

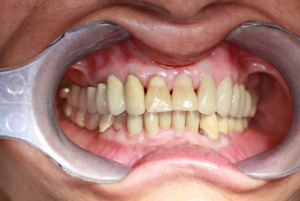
Zahnheilkunde - Dr. med. dent. Arzu Karin Müßig

Oberkiefer Gesamtsanierung mit Brücken

  • Patient Erwachsen

Vorher

Vorher

Nachher

Oberkiefer Kronenversorgung

  • Patient Erwachsen

Vorher

Vorher

Nachher

Sanierung "Hasenzähne" Kronenversorgung

  • Patient Erwachsen

Vorher

Vorher

Nachher

Füllung

  • Patient Erwachsen

Vorher

Nachher

Kronen

  • Patient Erwachsen

Vorher

Nachher

Brücken

  • Patient Erwachsen

Vorher

Nachher